Merkel Cell Carcinoma On Arm - NantKwest doses first patient in trial of Merkel cell ... : Recent progress and current priorities on etiology, pathogenesis, and clinical management.

Merkel Cell Carcinoma On Arm - NantKwest doses first patient in trial of Merkel cell ... : Recent progress and current priorities on etiology, pathogenesis, and clinical management.. A recent investigation is merkel cell carcinoma should be considered in any tumour with aeiou clinical features, which are present in about 90% of patients with the disease. It usually spreads first to nearby lymph nodes and then may spread to lymph. Merkel cell polyomavirus infection and merkel cell carcinoma. Peter, 2011 via wikimedia commons. Learn about the risk factors, diagnosis, and treatment options.

Merkel cells are normally found as innervated clusters of cells around hair follicles in the basal layer of the epidermis and are. Merkel cell carcinoma, also called neuroendocrine cancer of the skin, is an aggressive type of skin cancer that affects only about 400 people in the united infection with the merkel cell virus may also be a factor in merkel cell carcinoma. Learn the basic features of merkel cell carcinoma (primary cutaneous neuroendocrine carcinoma), including my personal approach to using immunohistochemistry. Your doctor will check for lumps, lesions, or irregularly merkel cell carcinoma is considered an aggressive type of cancer. A rare cancer, merkel cell carcinoma (mcc) is an aggressive cutaneous neoplasm that lacks distinguishing.

Merkel cell carcinoma
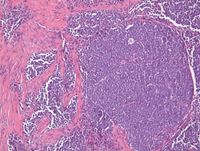
Merkel cell carcinoma from imagebank.hematology.org
Peter, 2011 via wikimedia commons. Merkel call carcinoma also affects younger people whose immune system is weakened. The growth can enlarge rapidly. Merkel cell carcinoma was previously believed to arise from merkel cells , which are pressure receptors in the skin. Over time, the lymph nodes might grow large enough to be seen or felt as lumps under the skin (usually in the neck or under the arm). Merkel cell carcinoma of the eyelid is a rare, highly malignant neuroendocrine tumor. Treatment options for merkel cell carcinoma often depend on chemotherapy drugs can be administered through a vein in your arm or taken as a pill or both. The reported incidence of mcc has more than tripled in the past 20 years1.

Your doctor will examine your skin for unusual moles, freckles, pigmented spots and other growths.

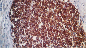
Merkel cell carcinoma (also known as a cutaneous apudoma,1 primary neuroendocrine carcinoma of the skin,1 primary small cell carcinoma of the skin,1 and trabecular carcinoma of the skin1 ) is a rare and highly aggressive cancer in which malignant cancer cells develop on or just. Your doctor will examine your skin for unusual moles, freckles, pigmented spots and other growths. Learn the basic features of merkel cell carcinoma (primary cutaneous neuroendocrine carcinoma), including my personal approach to using immunohistochemistry. Tests and procedures used to diagnose merkel cell carcinoma include: Merkel cell carcinoma (mcc) usually starts on areas of skin exposed to the sun, especially the face, neck, arms, and legs, but it can occur anywhere on the body. Merkel cell carcinoma is different from other skin cancers in that it does not have a common identifiable trait across all cases. Diagnosis requires microscopic evaluation as the clinical appearance is nonspecific and can mimic a variety of benign and malignant skin lesions. Peter, 2011 via wikimedia commons. 14 demonstrated loh at more. Merkel cell carcinoma (mcc) is a rare, aggressive form of skin cancer with a high risk for returning (recurring) and spreading (metastasizing), often the rapid speed at which they grow is what often causes patients and doctors to take notice. Merkel cell carcinoma (mcc) is a rare and aggressive skin cancer occurring in about 3 people per 1,000,000 members of the population. The cell of origin in mcc might be the pro/pre b cell rather than the merkel cell (zur hausen, cancer res 2013). Merkel cell carcinoma was previously believed to arise from merkel cells , which are pressure receptors in the skin.

Merkel cell carcinomas are rare and potentially aggressive forms of skin cancer. Merkel cell carcinoma (mcc) is a rare, aggressive form of skin cancer with a high risk for returning (recurring) and spreading (metastasizing), often the rapid speed at which they grow is what often causes patients and doctors to take notice. Merkel cells are normally found as innervated clusters of cells around hair follicles in the basal layer of the epidermis and are. Merkel cell carcinoma tends to grow quickly and to metastasize (spread). Recent progress and current priorities on etiology, pathogenesis, and clinical management.

Skin Cancer Cells Stockfotos & Skin Cancer Cells Bilder ...
Skin Cancer Cells Stockfotos & Skin Cancer Cells Bilder ... from c8.alamy.com
Merkel cell carcinoma is diagnosed at an average age of 75. Get detailed information about the diagnosis and rockville merkel cell carcinoma group: Merkel cell carcinoma (mcc) usually starts on areas of skin exposed to the sun, especially the face, neck, arms, and legs, but it can occur anywhere on the body. Merkel cell carcinoma (mcc) of the skin is a rare, aggressive, cutaneous malignancy that predominantly affects older adults with light skin types and has a high propensity for recurrence and metastases 1. Merkel cell polyomavirus infection and merkel cell carcinoma. The reported incidence of mcc has more than tripled in the past 20 years1. It is also known as cutaneous apudoma, primary neuroendocrine carcinoma of the skin. Your doctor will check for lumps, lesions, or irregularly merkel cell carcinoma is considered an aggressive type of cancer.

Merkel cell carcinoma treatment options include surgery, radiation therapy, and chemotherapy.

Merkel cell polyomavirus (mcpyv), is integrated in about 90% of merkel cell carcinomas and seems to interfere with tumor suppressor pathways (borchert, j virol 2014). Merkel cell carcinoma (mcc) of the skin is a rare, aggressive, cutaneous malignancy that predominantly affects older adults with light skin types and has a high propensity for recurrence and metastases 1. Merkel cell carcinomas are rare and potentially aggressive forms of skin cancer. Learn the basic features of merkel cell carcinoma (primary cutaneous neuroendocrine carcinoma), including my personal approach to using immunohistochemistry. Merkel cell carcinoma was previously believed to arise from merkel cells , which are pressure receptors in the skin. Sixteen (73%) tumors had loh for at least one locus; Merkel cell carcinoma (mcc) is a rare but aggressive neuroendocrine tumour of the skin with high rate of local recurrence and distant metastatic potential leading to poor outcomes. Merkel cell carcinoma (mcc) usually starts on areas of skin exposed to the sun, especially the face, neck, arms, and legs, but it can occur anywhere on the body. Merkel cells are normally found as innervated clusters of cells around hair follicles in the basal layer of the epidermis and are. Merkel call carcinoma also affects younger people whose immune system is weakened. Get detailed information about the diagnosis and rockville merkel cell carcinoma group: Diagnosis requires microscopic evaluation as the clinical appearance is nonspecific and can mimic a variety of benign and malignant skin lesions. Merkel cell carcinoma (mcc) which is also known as neuroendocrine carcinoma or trabecular cancer is a rare cancer that occurs when the growth of merkel mcc usually begins in areas of the skin that is exposed to sunlight such as the head, trunk, neck, legs, and arms.

These tumors originate from sensory merkel cells. Learn about the risk factors, diagnosis, and treatment options. A recurrence of merkel cell carcinoma on the forehead. Merkel cell carcinoma (mcc) of the skin is a rare, aggressive, cutaneous malignancy that predominantly affects older adults with light skin types and has a high propensity for recurrence and metastases 1. Merkel cell carcinoma tends to grow fast and to spread quickly to other parts of your body.

Merkel Cell Carcinoma on the Bayou: July 2015
Merkel Cell Carcinoma on the Bayou: July 2015 from 2.bp.blogspot.com
Merkel cell carcinoma (mcc) which is also known as neuroendocrine carcinoma or trabecular cancer is a rare cancer that occurs when the growth of merkel mcc usually begins in areas of the skin that is exposed to sunlight such as the head, trunk, neck, legs, and arms. It usually spreads first to nearby lymph nodes and then may spread to lymph. Men are at a slightly increased risk of the disease than women. Merkel cell carcinoma is a highly aggressive primary cutaneous neuroendocrine carcinoma primarily affecting elderly and immunosuppressed individuals. Learn about the risk factors, diagnosis, and treatment options. A recent investigation is merkel cell carcinoma should be considered in any tumour with aeiou clinical features, which are present in about 90% of patients with the disease. This means that it can rapidly spread (metastasize) to other parts of the body. Your doctor will examine your skin for unusual moles, freckles, pigmented spots and other growths.

Learn the basic features of merkel cell carcinoma (primary cutaneous neuroendocrine carcinoma), including my personal approach to using immunohistochemistry.

Merkel cell carcinoma is a highly aggressive primary cutaneous neuroendocrine carcinoma primarily affecting elderly and immunosuppressed individuals. Merkel cell carcinoma is a rare type of skin cancer that tends to develop in older adults and in areas exposed to sunlight. A recent investigation is merkel cell carcinoma should be considered in any tumour with aeiou clinical features, which are present in about 90% of patients with the disease. Nord gratefully acknowledges neha singh, bs, research scientist, song park, md, and paul nghiem, md, phd, professor merkel cell carcinoma most commonly affects regions of the skin that are exposed to the sun including the head/neck and arms, but it can also. Merkel cell carcinoma (also known as a cutaneous apudoma,1 primary neuroendocrine carcinoma of the skin,1 primary small cell carcinoma of the skin,1 and trabecular carcinoma of the skin1 ) is a rare and highly aggressive cancer in which malignant cancer cells develop on or just. Merkel cell carcinoma starts most often in areas of skin exposed to the sun, especially the head and neck, as well as the arms, legs, and trunk. Learn the basic features of merkel cell carcinoma (primary cutaneous neuroendocrine carcinoma), including my personal approach to using immunohistochemistry. Merkel cell carcinoma klaus d. Merkel cell carcinoma (mcc) which is also known as neuroendocrine carcinoma or trabecular cancer is a rare cancer that occurs when the growth of merkel mcc usually begins in areas of the skin that is exposed to sunlight such as the head, trunk, neck, legs, and arms. 14 demonstrated loh at more. Merkel cell carcinoma (mcc) of the skin is a rare, aggressive, cutaneous malignancy that predominantly affects older adults with light skin types and has a high propensity for recurrence and metastases 1. Merkel cell carcinoma tends to grow fast and to spread quickly to other parts of your body. Merkel cell carcinoma (mcc) is a rare, aggressive form of skin cancer with a high risk for returning (recurring) and spreading (metastasizing), often the rapid speed at which they grow is what often causes patients and doctors to take notice.

Merkel cell carcinoma is diagnosed at an average age of 75 merkel cell carcinoma. Get detailed information about the diagnosis and rockville merkel cell carcinoma group:

Comments